Tooth Extraction
in Blackpool
Gentle tooth extraction at Tower Dental Blackpool — including wisdom teeth and difficult cases. Modern anaesthesia, calm environment, clear aftercare plan. Same-day urgent extractions available.
Dental Crowns in Blackpool — Restore Strength & Appearance
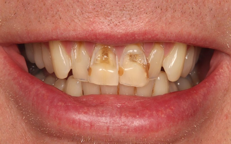
A dental crown in Blackpool at Tower Dental is a custom-made cap that fits precisely over a damaged, weakened or root-treated tooth — restoring its shape, strength, function and appearance. Our GDC-registered team offer both porcelain crowns and PBC (porcelain-bonded-to-metal) crowns, fitted with precision using digital impression technology for a natural, comfortable fit.
You may need a dental crown in Blackpool if you have a broken or heavily filled tooth, have recently had root canal treatment, have a severely worn or cracked tooth, or want to improve the appearance of a discoloured or misshapen tooth. Tower Dental Blackpool also provides implant-retained crowns as part of our dental implant service.
Dental Crown Procedure — Step by Step
Types of Dental Crown at Tower Dental Blackpool (2026 Prices)
- ✓ Most natural-looking option
- ✓ Ideal for front teeth
- ✓ Excellent translucency
- ✓ Metal-free
- ✓ Extremely durable
- ✓ Ideal for back teeth
- ✓ Porcelain outer surface
- ✓ Cost-effective option
Tooth Extraction Blackpool — FAQs
Book at Tower Dental Blackpool
302a Devonshire Road, Blackpool FY2 0TW · 01253 353759
Tooth Extraction Blackpool — Precision-Fitted Restorations at Tower Dental
Tooth extractions in Blackpool at Tower Dental are carried out by our GDC-registered clinical team using gentle technique and effective local anaesthesia. We offer routine extractions, surgical extractions where roots are retained, and same-day emergency extractions for pain or trauma. Extraction cost in Blackpool at Tower Dental starts from £156 (incisor / premolar), with a full written quote at every consultation.
💬 Pricing is provided at your consultation — written quote, no obligation. Call 01253 353759 or book online.
Tower Dental uses digital impression technology for precise, comfortable crown preparation — no traditional putty impressions. Our dental crowns in Blackpool are custom-crafted by dedicated dental laboratories to match your natural tooth colour and shape exactly. We treat crown patients from across Blackpool FY1–FY4, Cleveleys FY5, Poulton FY6, Fleetwood FY7, Lytham St Annes FY8, Preston and throughout Lancashire.
If you need a crown dentist in Blackpool, Tower Dental at 302a Devonshire Road FY2 0TW offers same-day emergency temporary crowns when needed. Rated 4.9-star by 220 patients. Call 01253 353759.
Explore More at Tower Dental Blackpool
Further Reading from Trusted UK Sources
For impartial, authoritative information on dental health, regulations and patient rights in the UK, the following organisations are recognised sources:
Authoritative UK sources on this topic
For independent, authoritative information from recognised UK health organisations:
External resources are provided for general education. Always consult a registered dental professional for advice specific to your circumstances.
Related at Tower Dental Blackpool
Tooth Extraction Patient Reviews
⭐ Verified reviews from our Google Business Profile · 4.9/5 from 220 patients
"As an incredibly nervous patient who had not seen a dentist for years it is a relief to now have a plan with such a good practice. From the initial assessment to the removal of a wisdom tooth the team helped me stay as relaxed as possible. Seby and Julie on reception were so friendly and welcoming which helped calm my nerves while dentist Safa was constantly reassuring me throughout the procedure. Many thanks to you all!"
"Very prompt and extremely efficient service with my emergency wisdom tooth extraction. Dr David talked me through the procedure and explained every step which turned out to be painless. Would highly recommend."
Find Tower Dental Blackpool
302a Devonshire Road, Blackpool, Lancashire FY2 0TW · 01253 353759
"Tooth extraction is appropriate when a tooth is unrestorable, infected beyond repair, or where retention would compromise overall oral health. NICE supports staged decision-making with patient consent."
Patient resources
Costs & feesTreatments & guides





